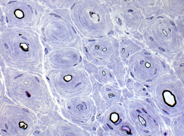
Onion Bulb Neuropathology . — by contrast, onion bulbs involve nearly all nerve fibers in some inherited demyelinating neuropathies. cidp variants share a common pathophysiology of inflammatory demyelination with repeated demyelination and remyelination resulting in stacks of schwann cell. five patients with chronic neuropathies of unknown etiology had increased numbers of schwann cells in their sural nerves; — onion bulb structures are a pathological hallmark of demyelinating neuropathies, but the nature of these.
from neuromuscular.wustl.edu
— onion bulb structures are a pathological hallmark of demyelinating neuropathies, but the nature of these. five patients with chronic neuropathies of unknown etiology had increased numbers of schwann cells in their sural nerves; — by contrast, onion bulbs involve nearly all nerve fibers in some inherited demyelinating neuropathies. cidp variants share a common pathophysiology of inflammatory demyelination with repeated demyelination and remyelination resulting in stacks of schwann cell.
Chronic demyelination
Onion Bulb Neuropathology — onion bulb structures are a pathological hallmark of demyelinating neuropathies, but the nature of these. — onion bulb structures are a pathological hallmark of demyelinating neuropathies, but the nature of these. cidp variants share a common pathophysiology of inflammatory demyelination with repeated demyelination and remyelination resulting in stacks of schwann cell. — by contrast, onion bulbs involve nearly all nerve fibers in some inherited demyelinating neuropathies. five patients with chronic neuropathies of unknown etiology had increased numbers of schwann cells in their sural nerves;
From www.alamy.com
Garden onion, Bulb Onion, Common Onion (Allium cepa), cross section of an anther with meiosis Onion Bulb Neuropathology — onion bulb structures are a pathological hallmark of demyelinating neuropathies, but the nature of these. — by contrast, onion bulbs involve nearly all nerve fibers in some inherited demyelinating neuropathies. five patients with chronic neuropathies of unknown etiology had increased numbers of schwann cells in their sural nerves; cidp variants share a common pathophysiology of. Onion Bulb Neuropathology.
From neuromuscular.wustl.edu
CMT 1A Onion Bulb Neuropathology five patients with chronic neuropathies of unknown etiology had increased numbers of schwann cells in their sural nerves; — by contrast, onion bulbs involve nearly all nerve fibers in some inherited demyelinating neuropathies. — onion bulb structures are a pathological hallmark of demyelinating neuropathies, but the nature of these. cidp variants share a common pathophysiology of. Onion Bulb Neuropathology.
From handwiki.org
MedicineHereditary motor and sensory neuropathy HandWiki Onion Bulb Neuropathology — by contrast, onion bulbs involve nearly all nerve fibers in some inherited demyelinating neuropathies. five patients with chronic neuropathies of unknown etiology had increased numbers of schwann cells in their sural nerves; cidp variants share a common pathophysiology of inflammatory demyelination with repeated demyelination and remyelination resulting in stacks of schwann cell. — onion bulb. Onion Bulb Neuropathology.
From animalia-life.club
Onion Bulb Cell Onion Bulb Neuropathology — by contrast, onion bulbs involve nearly all nerve fibers in some inherited demyelinating neuropathies. five patients with chronic neuropathies of unknown etiology had increased numbers of schwann cells in their sural nerves; cidp variants share a common pathophysiology of inflammatory demyelination with repeated demyelination and remyelination resulting in stacks of schwann cell. — onion bulb. Onion Bulb Neuropathology.
From www.columbia.edu
Hematopathology Onion Bulb Neuropathology — by contrast, onion bulbs involve nearly all nerve fibers in some inherited demyelinating neuropathies. cidp variants share a common pathophysiology of inflammatory demyelination with repeated demyelination and remyelination resulting in stacks of schwann cell. — onion bulb structures are a pathological hallmark of demyelinating neuropathies, but the nature of these. five patients with chronic neuropathies. Onion Bulb Neuropathology.
From www.researchgate.net
Microinjection of fluorescently labeled rabbit actin into onion bulb... Download Scientific Onion Bulb Neuropathology — onion bulb structures are a pathological hallmark of demyelinating neuropathies, but the nature of these. five patients with chronic neuropathies of unknown etiology had increased numbers of schwann cells in their sural nerves; — by contrast, onion bulbs involve nearly all nerve fibers in some inherited demyelinating neuropathies. cidp variants share a common pathophysiology of. Onion Bulb Neuropathology.
From www.nowyouknowneuro.com
Queston 20257Note NowYouKnow Neuro Onion Bulb Neuropathology cidp variants share a common pathophysiology of inflammatory demyelination with repeated demyelination and remyelination resulting in stacks of schwann cell. — onion bulb structures are a pathological hallmark of demyelinating neuropathies, but the nature of these. — by contrast, onion bulbs involve nearly all nerve fibers in some inherited demyelinating neuropathies. five patients with chronic neuropathies. Onion Bulb Neuropathology.
From www.researchgate.net
Schematic demonstration of the onion bulb phenomenon at the pons... Download Scientific Diagram Onion Bulb Neuropathology five patients with chronic neuropathies of unknown etiology had increased numbers of schwann cells in their sural nerves; — by contrast, onion bulbs involve nearly all nerve fibers in some inherited demyelinating neuropathies. — onion bulb structures are a pathological hallmark of demyelinating neuropathies, but the nature of these. cidp variants share a common pathophysiology of. Onion Bulb Neuropathology.
From www.slideserve.com
PPT NERVE PATHOLOGY PowerPoint Presentation, free download ID3539184 Onion Bulb Neuropathology — onion bulb structures are a pathological hallmark of demyelinating neuropathies, but the nature of these. — by contrast, onion bulbs involve nearly all nerve fibers in some inherited demyelinating neuropathies. five patients with chronic neuropathies of unknown etiology had increased numbers of schwann cells in their sural nerves; cidp variants share a common pathophysiology of. Onion Bulb Neuropathology.
From neuromuscular.wustl.edu
Chronic demyelination Onion Bulb Neuropathology cidp variants share a common pathophysiology of inflammatory demyelination with repeated demyelination and remyelination resulting in stacks of schwann cell. — by contrast, onion bulbs involve nearly all nerve fibers in some inherited demyelinating neuropathies. five patients with chronic neuropathies of unknown etiology had increased numbers of schwann cells in their sural nerves; — onion bulb. Onion Bulb Neuropathology.
From neuromuscular.wustl.edu
Chronic demyelination Onion Bulb Neuropathology — by contrast, onion bulbs involve nearly all nerve fibers in some inherited demyelinating neuropathies. — onion bulb structures are a pathological hallmark of demyelinating neuropathies, but the nature of these. cidp variants share a common pathophysiology of inflammatory demyelination with repeated demyelination and remyelination resulting in stacks of schwann cell. five patients with chronic neuropathies. Onion Bulb Neuropathology.
From www.researchgate.net
The epidermises of onion scales. (A) Red onion bulb. B, Longitudinal... Download Scientific Onion Bulb Neuropathology five patients with chronic neuropathies of unknown etiology had increased numbers of schwann cells in their sural nerves; cidp variants share a common pathophysiology of inflammatory demyelination with repeated demyelination and remyelination resulting in stacks of schwann cell. — onion bulb structures are a pathological hallmark of demyelinating neuropathies, but the nature of these. — by. Onion Bulb Neuropathology.
From www.vrogue.co
Onion Bulb Scales And Their Adaxial Epidermis A D Pol vrogue.co Onion Bulb Neuropathology — by contrast, onion bulbs involve nearly all nerve fibers in some inherited demyelinating neuropathies. cidp variants share a common pathophysiology of inflammatory demyelination with repeated demyelination and remyelination resulting in stacks of schwann cell. five patients with chronic neuropathies of unknown etiology had increased numbers of schwann cells in their sural nerves; — onion bulb. Onion Bulb Neuropathology.
From neuromuscular.wustl.edu
LHN Onion Bulb Neuropathology cidp variants share a common pathophysiology of inflammatory demyelination with repeated demyelination and remyelination resulting in stacks of schwann cell. — by contrast, onion bulbs involve nearly all nerve fibers in some inherited demyelinating neuropathies. five patients with chronic neuropathies of unknown etiology had increased numbers of schwann cells in their sural nerves; — onion bulb. Onion Bulb Neuropathology.
From neuromuscular.wustl.edu
LHN Onion Bulb Neuropathology five patients with chronic neuropathies of unknown etiology had increased numbers of schwann cells in their sural nerves; cidp variants share a common pathophysiology of inflammatory demyelination with repeated demyelination and remyelination resulting in stacks of schwann cell. — onion bulb structures are a pathological hallmark of demyelinating neuropathies, but the nature of these. — by. Onion Bulb Neuropathology.
From neuromuscular.wustl.edu
LHN Onion Bulb Neuropathology — onion bulb structures are a pathological hallmark of demyelinating neuropathies, but the nature of these. — by contrast, onion bulbs involve nearly all nerve fibers in some inherited demyelinating neuropathies. cidp variants share a common pathophysiology of inflammatory demyelination with repeated demyelination and remyelination resulting in stacks of schwann cell. five patients with chronic neuropathies. Onion Bulb Neuropathology.
From www.frontiersin.org
Frontiers The Distribution of Onion Virulence Gene Clusters Among Pantoea spp. Onion Bulb Neuropathology five patients with chronic neuropathies of unknown etiology had increased numbers of schwann cells in their sural nerves; — by contrast, onion bulbs involve nearly all nerve fibers in some inherited demyelinating neuropathies. — onion bulb structures are a pathological hallmark of demyelinating neuropathies, but the nature of these. cidp variants share a common pathophysiology of. Onion Bulb Neuropathology.
From www.radboudumc.nl
Myelin figures Radboudumc Onion Bulb Neuropathology — by contrast, onion bulbs involve nearly all nerve fibers in some inherited demyelinating neuropathies. cidp variants share a common pathophysiology of inflammatory demyelination with repeated demyelination and remyelination resulting in stacks of schwann cell. five patients with chronic neuropathies of unknown etiology had increased numbers of schwann cells in their sural nerves; — onion bulb. Onion Bulb Neuropathology.